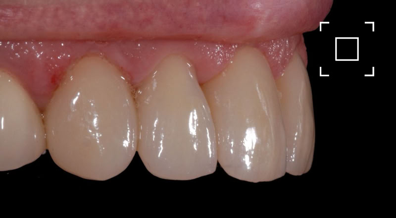
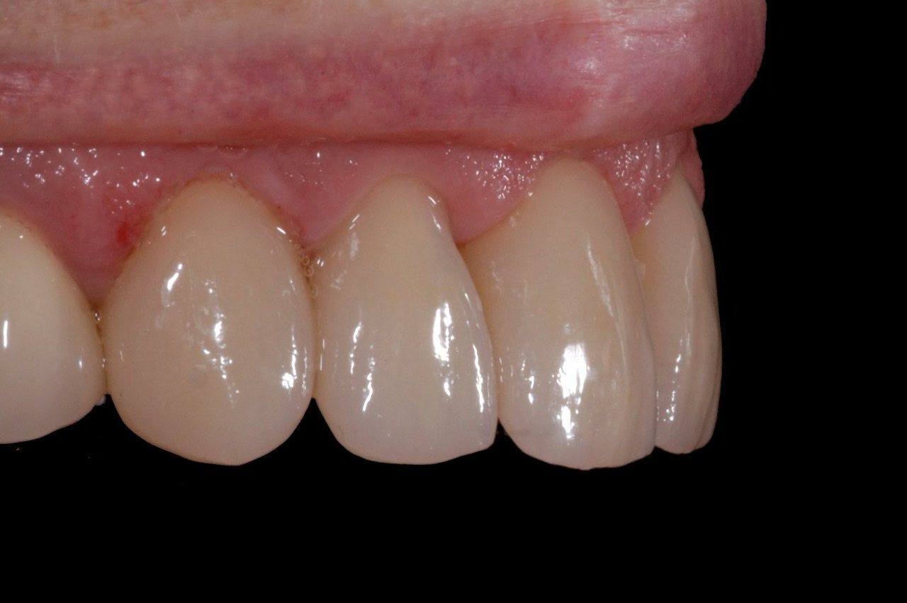
Weiß und fest: Vollkeramik

Vollkermamische Brücken haben keine Metallanteile

Vollkeramik erlaubt einen natürlichen Lichttransport

Kronen können wie natürliche Zähne aussehen 

Zirkonkronen sorgen für gesundes Zahnfleisch

Vollkeramische Versorgungen


Der Werkstoff Zirkon hat sich jahrelang bei zahlreichen Patienten bewährt. Wir verwenden ausschließlich hochwertige Zirkonoxide namhafter Hersteller, die für Sicherheit, Ästhetik und Verträglichkeit stehen.

Im Gegensatz zu Standardkronen ist hier keine Metallkappe als Stabilität gebendesGerüst vorhanden. Das Licht kann daher ungehindert fließen.

 Darüber hinaus kann das Material in monolithischer Verarbeitung (Vollzirkon) eingesetzt werden. Das heißt, dass eine natürliche Farbwiedergabe ohne zusätzliche Keramikverblendung erreicht werden kann. Der Werkstoff ist damit für schwierige Biss- und Platzverhätnisse geeignet. Der Zahn kann substanzschonend präpariert werden und wird geschont.

Veneers und Inlays

Ein Keramik-Inlay aus Glaskeramik verschwindet unsichtbar im Zahn

Minimalinvasive Restaurationen


Veneers sind hauchdünne, maßgefertigte Verblendschalen, die auf die Vorderseite der Zähne geklebt werden, um deren Aussehen ästhetisch zu verbessern, indem sie Verfärbungen, leichte Zahnfehlstellungen, kleine Lücken oder abgebrochene Ecken kaschieren. Sie sind eine substanzschonende Alternative zu Kronen, da nur wenig Zahnschmelz abgeschliffen wird, und ahmen die natürliche Zahnsubstanz gut nach, was ein sehr natürliches Ergebnis ermöglicht. 


Ein Keramik-Inlay ist eine hochwertige, zahnfarbene Einlagefüllung aus Vollkeramik, die im Labor hergestellt wird, um größere Zahndefekte ästhetisch und dauerhaft zu reparieren, wenn eine normale Füllung nicht mehr ausreicht. Es wird präzise an den Zahn angepasst und fest in den Zahn zementiert, wodurch es sich wie eine natürliche Zahnoberfläche verhält, sehr lange hält und biokompatibel ist.

© 2025 TRIODONT Zahntechnik

Diese Website verwendet Cookies. Bitte sehen Sie unsere Datenschutzrichtlinie für Details.