Ästhetik

Digitale Zahnfarbbestimmung

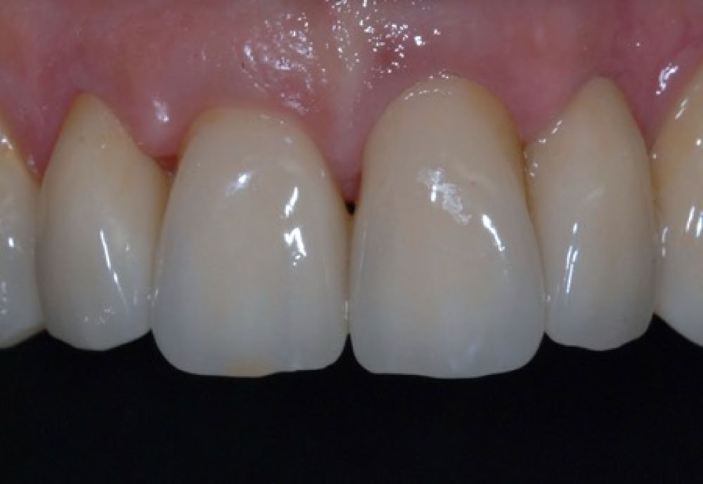
Ein natürlicher Zahn besteht nicht nur aus einer Farbe.

Individuelle Zähne


Heutzutage kann ein Zahn perfekt nachgebildet werden, so dass er von den natürlichen Zähnen nicht zu unterscheiden ist. Die digitale Farbanalyse hilft bei der Reproduktion der Farbe.

Natürliches Aussehen

Das passt zu Ihnen …


Bei der Gestaltung Ihrer Zähne berücksichtigen wir Ihr Aussehen, Typ und Lippenverlauf.

Kein typisches „Prothesengesicht“ mehr, denn die Zähne fügen sich nun harmonisch in Ihr Gesicht ein.

In nebenstehendem Beispiel sieht man deutlich die Verbesserung: Die Zähne sind nicht mehr von der Lippe verdeckt, das Ergebnis ist ein entspanntes, natürliches Lächeln.

Dunkle Kronenränder

Graue Schatten


Häufig zieht sich das Zahnfleisch bei verblendeten Keramikkronen bis an den metallenen Kronenrand zurück. Dann wird dieser Metallrand als dunkler Saum am Zahnfleischrand sichtbar.

Mit einer Kronenversorgung aus Zirkoniumdioxid, kurz Zirkon, lässt sich das zuverlässig vermeiden. Zum Einen ist Zirkon äußerst gewebeverträglich und zum Anderen ein zahnfarbenes Material.

Zirkon unterstützt einen gesunden Zahnfleischsaum und überzeugt durch seine natürliche Farbe.

© 2025 TRIODONT Zahntechnik

Diese Website verwendet Cookies. Bitte sehen Sie unsere Datenschutzrichtlinie für Details.