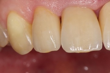
Farbsicherheit und Farbreproduktion sind zentrale Elemente vollkeramischer Restaurationen und maßgeblich für deren Erfolg. Mit der True Color Technology setzen wir in Sachen Farbsicherheit mit Cercon ht eine neue Benchmark.
Farbsicherheit und Farbreproduktion sind zentrale Elemente vollkeramischer Restaurationen und maßgeblich für deren Erfolg. Mit der True Color Technology setzen wir in Sachen Farbsicherheit mit Cercon ht eine neue Benchmark.